Sai Accident And Surgical Hospital
Accident & Trauma Care – Specialized in Bone & Joint Injuries.
Guided by decades of surgical expertise, our facility is dedicated to restoring mobility and providing world-class orthopedic solutions. Our specialized team combines advanced surgical techniques with compassionate, patient-first care to handle everything from complex trauma to routine joint health.
Key Specialities ⚕️
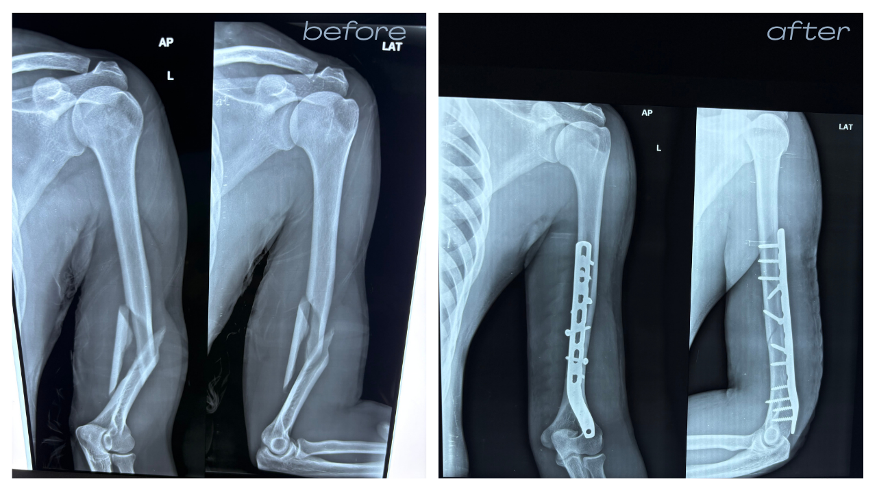
- Trauma & Fracture:
Emergency Bone Care.
- Knee & Joint Care:
Specialist in Pain & Replacement.
- Hip & Sports Medicine:
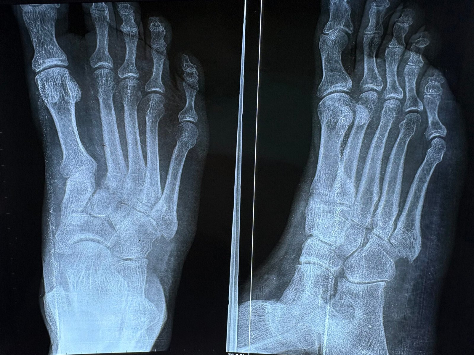
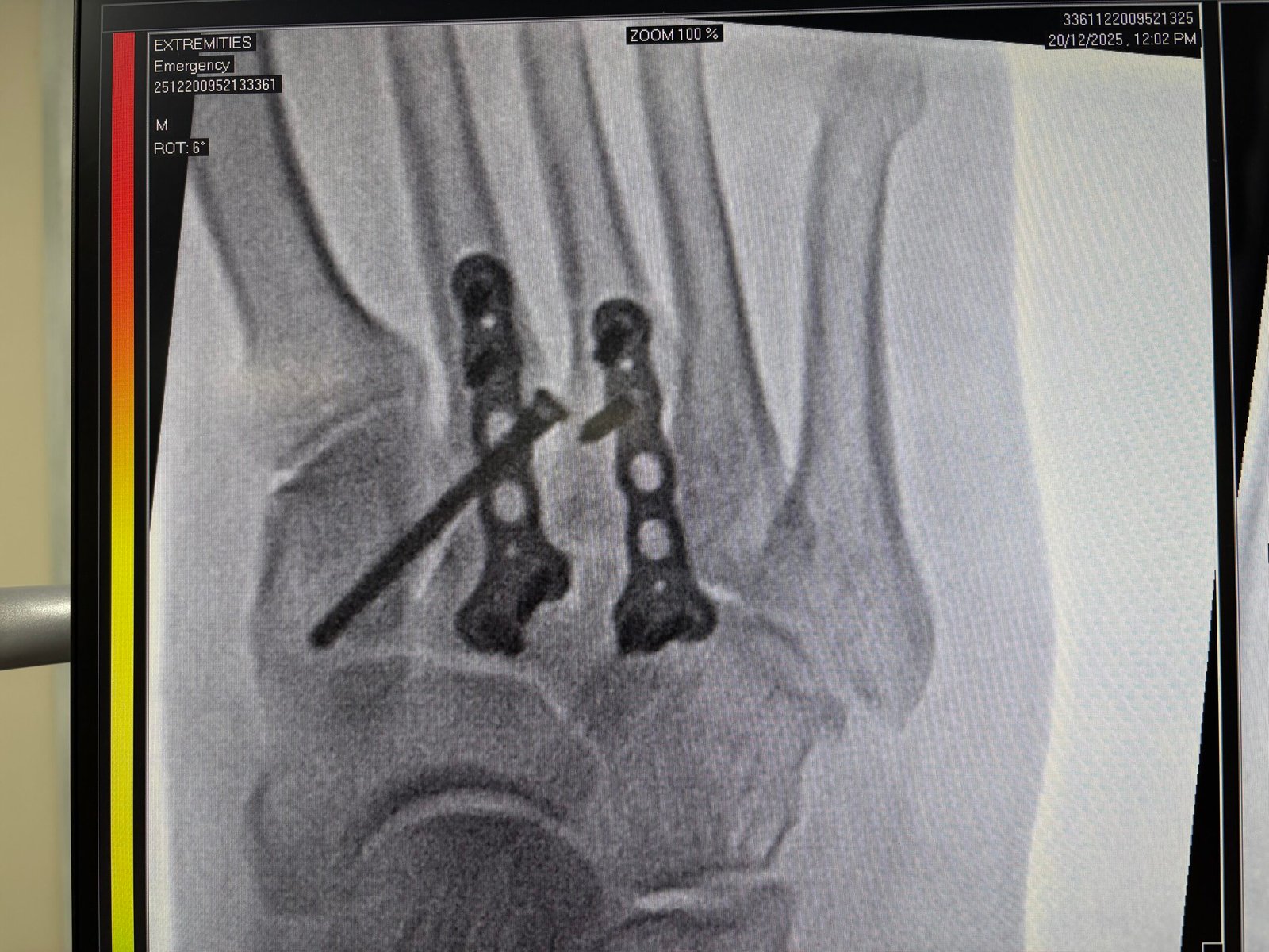
Advanced Recovery Solutions. - Hand, Foot & Ankle Specialist:
Precision treatment for injuries, deformities, and chronic pain. - Shoulder & Upper Limb Care:
Advanced solutions for frozen shoulder, rotator cuff tears, and mobility restoration. - Advanced pain Management:
Relief for back, neck, and joint pain through medicines, targeted therapy and rehab.
Our Facilities
🏥
X-Ray
ICU
Cashless Insurance
Pharmacy
Diagnostic Lab
Private and Semi Wards
Ambulance
OPD Timings
Mon–Sat:
10AM – 2 PM & 5 PM – 8 PM
Sunday: OPD Closed
Book an appoitnment
+91 90968 76066
Meet Our Chief Surgeon
Dr. Ram Pote
MBBS, MS (Ortho)
25 Years of Clinical Excellence
- Veteran Surgical Expertise
With 25 years of experience, Dr. Ram is a recognized authority in complex bone and joint surgeries and advanced trauma management.
The “Surgeon’s Surgeon”
A trusted expert in the Pune medical community, he is frequently invited as a Consultant Expert Surgeon to lead specialized procedures at premier hospitals across the region.Committed to Community Welfare
Beyond the operation theater, Dr. Ram is dedicated to making healthcare accessible through regular rural health camps and free diagnostic screenings. His mission is to ensure that expert orthopedic advice reaches every section of society, regardless of their means.Precision & Recovery
Known for a results-driven approach that prioritizes minimally invasive techniques and rapid post-surgical rehabilitation.
Our Legacy
Founded on the values of social service and medical excellence, inaugurated by
Padma Bhushan Shri Anna Hazare, Padma Vibhushan Dr. K.H. Sancheti & Arvind Kejriwal
Why People Trust Us
With a legacy of over 25 years in clinical practice and a milestone of 8,000+ successful orthopedic surgeries, our hospital is built on a foundation of mastery and proven results. We combine decades of specialized experience with a patient-first approach to restore mobility and enhance lives.
Clinical Excellence
Over 8,000 successful orthopedic procedures, ranging from complex trauma to total joint replacements.
Patient Safety & Hygiene
Rigorous hygiene protocols and a dedicated orthopedic OT to ensure maximum patient safety.
Ethical Healthcare
Complete transparency in treatment and costs — treating every patient like family.
Skilled Staff
Expertly trained staff dedicated to patient comfort and support.
Mr. Ramesh Patil, Pune
“Professional & Compassionate”
“From the first consultation to the final rehab session, the experience was excellent. The doctor explained the hip surgery process clearly, which gave me great confidence. The facility is top-notch and the staff is very supportive. If you are looking for an expert surgeon near Pune, this is the place.”
Our Infrastructure and Facilities






